V tele 30-ročnej Austrálčanky bol viac ako jednu dekádu predmet, ktorý tam byť pôvodne nemal. Išlo o menší, približne 6 milimetrov dlhý kúsok zo zubného strojčeka.
Lekári spočiatku nevedeli, čo má v neustále silnejších bolestiach brucha prsty. Skúšali rôzne laboratórne testy, ultrazvuk a aj skenovanie pečene, no neobjavili žiadny náznak koreňovej príčiny. Vedeli iba to, že jej tlak je rýchlejší ako za normálnych okolností, že nemala v poslednom období žiadnu operáciu, počas ktorej by v nej mohli niečo zabudnúť, a aj to, že membránu brušnej steny v jej tele trápi záhadný zápal.
A Woman Swallowed a Wire And It Lodged in Her Intestines For 10 Years https://t.co/4cUmNHChEB
— ScienceAlert (@ScienceAlert) August 9, 2017
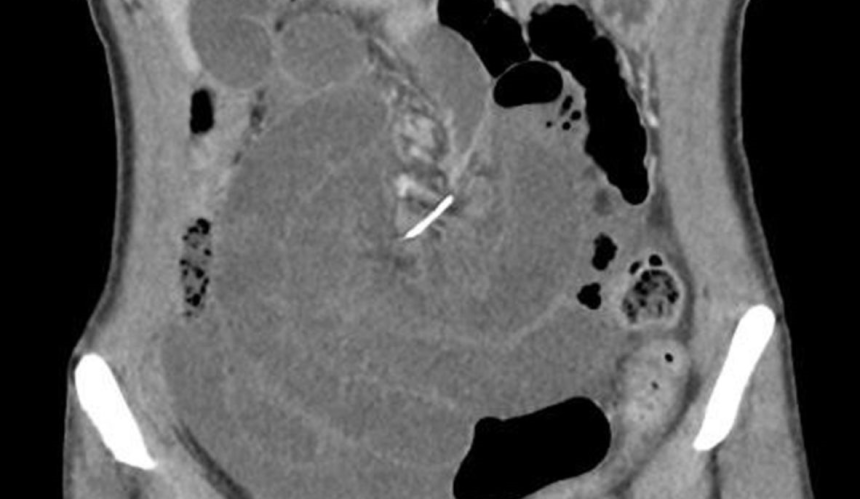
Všetko odhalila až CT snímka čriev, kde našli kus tenkého drôtu z kovu. Najzaujímavejším na celom prípade je však čas, ktorý tam objavený predmet strávil. Zubný strojček totiž naposledy používala zhruba pred 10 rokmi, čiže keď mala 20 rokov, píšu v odbornom článku na BMJ Case Reports.
Unikátny prípad dostal do povedomia web Science Alert.
„Všetci sme zostali zarazení. Neočakával som, že nájdeme to, čo sme nakoniec našli,“ prezradil jeden z členov tímu odborníkov, Dr. Shepherd.
Prekvapenie spôsobil fakt, že drôt nedal o sebe vedieť skôr, ale až po tak dlhej dobe – po viac ako desiatich rokoch. Neočakávaný vznik bolesti náhle spôsobila zmena polohy, kvôli ktorej žena vyhľadala pomoc. Ak by neprišla, cudzí predmet by v črevách strávil podstatne dlhšiu dobu. Dnes ju už vďaka zrealizovanej operácii viac netrápi.


